• 全部分类/
  • 健康家庭/
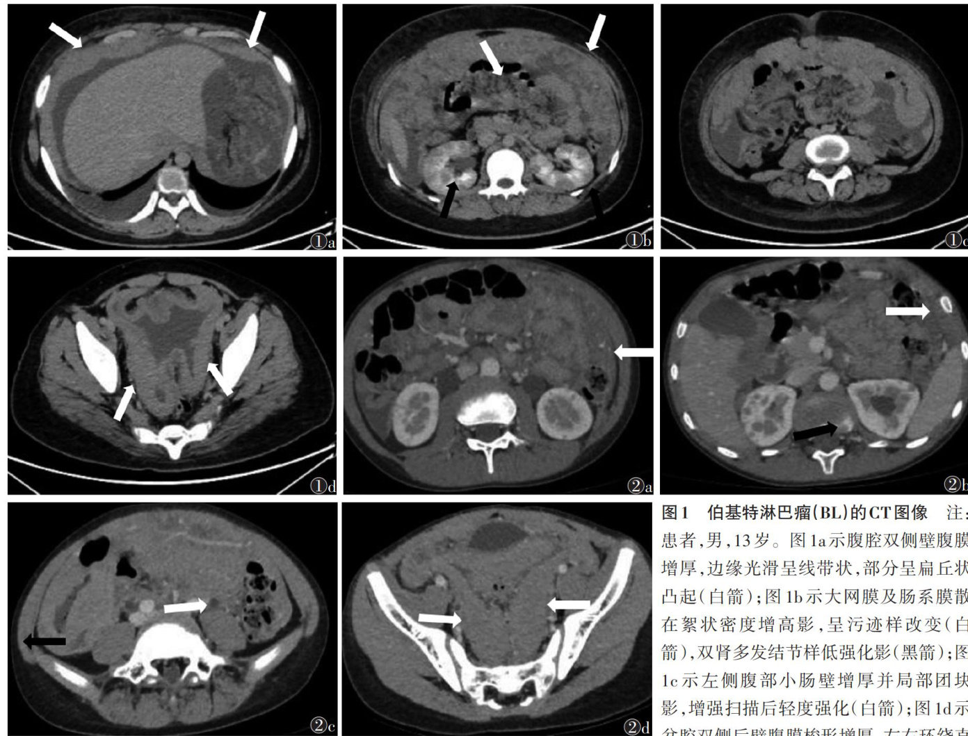
  • 中国中西医结合影像学杂志

中国中西医结合影像学杂志

2026年01期
扫码免费借阅

目录

快速导航

过往期刊

更多

猜你喜欢

  • 简体   /   繁体